記事がありません。
東京都目黒駅の歯医者・歯科
世界水準の精密治療を、東京から。
大学病院レベルの診療技術と先進設備で、歯科医療の新基準を。
-
01
自由診療専門の精密治療
LOTUS DENTAL CLINIC 東京(ロータスデンタルクリニック東京)は、保険の制約にとらわれない自由診療専門クリニックです。
歯科用CT・マイクロスコープ・デジタルスキャナーなど、最先端の医療機器を駆使し、ひとつひとつの治療を科学的根拠に基づいて設計。
治療前には口腔内の状態を立体的に可視化し、患者様自身が治療の目的とゴールを理解できるよう丁寧に説明します。
「ただ治す」ではなく、「再発を防ぎ、10年後も健康な歯でいられるように」――
大学病院レベルの診断精度と技術力で、歯を残すための精密かつ長期的視点の治療を提供します。 -
02
全室個室のプライベート空間
すべての診療室を完全個室設計とし、プライバシーを守りながら安心して治療を受けられる空間づくりを徹底しています。
外部の音や視線を遮り、落ち着いた照明と上質な内装で設計された室内は、まるでサロンのような静寂と安心感をもたらします。
治療中はモニターを用いた説明やデジタル画像の共有により、「見える医療」「理解できる医療」を実現。
自由診療専門クリニックとして、患者様一人ひとりが上質な医療体験を得られる環境を整えています。 -
03
大学病院レベルの技術と
医療体制LOTUS DENTAL CLINIC 東京(ロータスデンタルクリニック東京)の歯科医師は、大学病院・専門機関での臨床経験を重ねたうえで、精密治療・歯周再生療法・全顎リハビリテーションなどの分野で高度な技術を培ってきました。
各分野の知見を融合させ、歯周組織・骨再生・咬合バランスまでを総合的に管理。
また、治療前にはCT・iTero・3Dシミュレーションを用いて、治療計画の“見える化”を実現し、患者様とともに理想のゴールを共有します。
自由診療ならではの時間的ゆとりと技術精度により、大学病院基準の安全性と再現性を備えた歯科医療を東京・品川から発信しています。
極限まで歯を残す精密治療
-
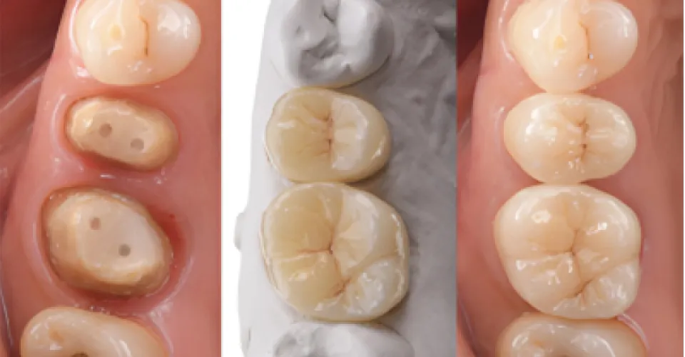
根管治療で歯を残す
歯を守る“最後の選択肢”として、
全国から患者さまが訪れる理由歯科医療が進化を遂げた現在でも、「歯を残す治療」は高度な技術と経験を要する分野です。
LOTUS DENTAL CLINIC 東京(ロータスデンタルクリニック東京)では、国内外で研鑽を積んだ歯科医師が、再治療を繰り返しても改善が難しかった症例に対しても、マイクロスコープと高精度CTを駆使した歯内療法(根管治療)を行っています。
すべての治療は、患者さま一人ひとりの歯の状態に合わせた完全オーダーメイド設計。
歯を“できる限り残す”という理念のもと、審美性・機能性・持続性のすべてを追求した自由診療専門の精密治療を提供しています。 -
重度歯周病から歯を残す
専門性の高い歯周治療・歯周再生療法を提供
LOTUS DENTAL CLINIC 東京(ロータスデンタルクリニック東京)では、歯を守るための治療を「治して終わり」ではなく、
治療後の健康をどのように維持していくかを重視しています。
歯周病治療や歯周外科処置など、精密治療を行う際には、
歯科医師と歯科衛生士が連携し、再発を防ぐための口腔管理を徹底しています。
治療前にはCTやマイクロスコープによる正確な診査を行い、
歯ぐきや骨の状態を精密に把握したうえで歯周再生療法を立案し、
ただ治すではなく、健康で美しくするゴールと共に再発のリスクを最小限に抑えます。
精密治療を行う3種の神器
-
マイクロスコープ
― 見えない領域を
「視える化」する拡大視野マイクロスコープは、肉眼の約3倍~20倍の拡大視野で治療部位を観察できる歯科用顕微鏡です。
従来では発見が難しかった微細な感染部位や亀裂を正確に確認でき、
根管治療や審美修復などにおいて精密な処置を可能にします。
暗い口腔内を照らす高輝度ライトと、鮮明に映し出す高性能レンズによって、
見逃しのない正確な診断と治療を実現しています。 -
歯科用CT
― 三次元で“内部構造”を
可視化する診断力歯や骨、神経の位置関係を三次元的に把握できる歯科用CTは、
根管治療・インプラント・歯周再生療法など、すべての治療の基盤となる診断機器です。
2Dレントゲンでは分からない細部まで解析できるため、
治療リスクを最小限に抑えた精密な計画立案が可能となります。
LOTUS DENTAL CLINIC 東京(ロータスデンタルクリニック東京)では、すべての自由診療においてCT診査を標準化しています。 -
アイテロ
― 患者様の
“負担を極限まで抑えた印象を従来のシリコン印象材を使用する方法とは異なり、当院では最新の口腔内3Dスキャナー「iTero(アイテロ)」を導入しています。
口腔内を光学的にスキャンするだけで、数分で高精度なデジタルデータを取得できるため、嘔吐反射のある方や長時間の印象が苦手な方でも快適に受けていただけます。取得したデータは、マイクロスコープやCT画像と連携させ、補綴(被せ物)やマウスピースの適合精度・咬合バランスをミクロン単位で設計。
従来の型取りを超える正確性と再現性を実現します。
これら3つの精密機器を駆使することで、
LOTUS DENTAL CLINIC 東京(ロータスデンタルクリニック東京)では
“経験とテクノロジーの融合”による治療を実現。
一本の歯を長期的に機能させるために、
目黒駅の歯医者・歯科として、すべての工程を丁寧に設計しています。
コンセプト
健康と美しさを未来に繋ぐ、
極限の歯科治療
LOTUS DENTAL CLINIC 東京(ロータスデンタルクリニック東京)は、目黒駅の歯医者・歯科として「極限まで歯を残す」という理念のもと、
一人ひとりの患者さまにとって最も精密で、
専門性とクオリティを深化させた“特化型医療”を提供する自由診療専門クリニックです。
私たちが大切にしているのは、「ただ治す」だけではなく、“その先の人生を支える治療”です。
患者さまの求める理想の口元と健康を実現するために、あらゆる角度から最適な選択肢を提案し、ご自身の歯で豊かに生きる未来をともに創っていきます。
お知らせ
- お知らせ
- 活動報告
- ブログ
- 全て
-
噛み合わせから
美しさを再構築する全顎治療
LOTUS DENTAL CLINIC 東京(ロータスデンタルクリニック東京)では、一本の歯だけを治すのではなく、お口全体の咬み合わせ・骨格・筋肉のバランスを整える「全顎治療」を行っています。
長年の治療の繰り返しや咬耗、欠損などにより崩れたバランスを根本から見直し、噛む機能・審美性・安定性を同時に再構築することを目的としています。
この治療では、CTやマイクロスコープを用いた精密診査のもと、歯周・補綴・矯正・インプラントなど複数の専門分野を融合。
咬合の高さ、顎関節の動き、顔貌との調和までを総合的に設計し、将来を見据えた包括的な治療計画を立案します。-
マイクロスコープ
とCTによる
精密診断 -
咬合・審美機能
を統合した
治療設計 -
長期的な安定を
重視した
自由診療体制
全顎治療 症例1

- 治療名
- ジルコニアセラミックブリッジ/ジルコニアブリッジ、ジルコニアクラウン/クラウンレングスニング/顎堤増大術
- 患者様
- 60代女性
- 執刀医
- Dr.矢野
- 治療期間
- 24ヶ月
- 治療費
- ¥3,200,000
- リスク
- 外科治療に伴う術後疼痛、合併症のリスク、下顎義歯設計による咬合時の違和感
全顎治療 症例2

- 治療名
- 全顎治療(咬合治療、審美治療)/フルインプラント治療
- 患者様
- 40代男性
- 執刀医
- Dr.矢野
- 治療期間
- 12ヶ月
- 治療費
- ¥8,140,000
- リスク
- 外科治療に伴う術後疼痛、合併症のリスク
-
-
失われた歯の機能を
再構築するインプラント治療
LOTUS DENTAL CLINIC 東京(ロータスデンタルクリニック東京)では、歯を失った部分を補うだけでなく、咬合・骨・歯肉・審美性を総合的に再構築するインプラント治療を行っています。
単に「噛めるようにする」ことを目的とせず、天然歯と調和した機能性と長期安定性を追求した治療設計を重視しています。
CTによる三次元解析をもとに、骨の形態や神経位置を正確に把握。
治療前にシミュレーションを行い、安全性と精度を両立した手術計画を立てます。
必要に応じて骨造成や歯肉再生にも対応し、将来にわたり健康な咬合を維持できる状態を目指します。-
CT・
シミュレーション
による安全性の
高い手術設計 -
精密な
埋入ポジションで
審美性と
機能性を両立 -
長期安定を
見据えた
メンテナンス体制
インプラント治療 症例1

- 治療名
- インプラント治療/ジルコニアクラウン
- 患者様
- 50代女性
- 執刀医
- Dr.矢野
- 治療期間
- 4回
- 治療費
- ¥1,177,000
- リスク
- 外科治療に伴う術後疼痛、合併症のリスク
インプラント治療 症例2

- 治療名
- インプラント治療/ジルコニアセラミック/ダイレクトボンディング
- 患者様
- 20代女性
- 執刀医
- Dr.矢野
- 治療期間
- 10回
- 治療費
- ¥1,900,000
- リスク
- 外科治療に伴う術後疼痛、合併症のリスク、深部カリエスの際の露髄のリスク、術後一過性の知覚過敏のリスク
-
-
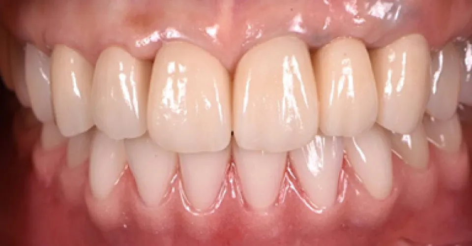
自然で美しく、
機能的な口元を実現する審美歯科セラミック治療
LOTUS DENTAL CLINIC 東京(ロータスデンタルクリニック東京)では、見た目の美しさだけでなく、機能性と長期的な安定性を両立したセラミック治療を行っています。
歯の形態・色調・透明感・歯肉との調和を細部まで設計し、一人ひとりの顔貌や表情に自然に溶け込む口元をデザインします。
また、咬み合わせや歯の強度バランスまで考慮した上で、マイクロスコープによる精密な形成・接着技術を用いることで、審美性だけでなく再治療リスクを抑えた高精度な治療を実現。
素材選定から仕上げまで、すべての工程を丁寧に管理しています。-
精密形成・接着で
長期安定を実現 -
天然歯に近い
質感・透明感を
再現 -
患者さまごとの
理想に合わせた
オーダーメイド
設計
セラミック治療 症例1

- 治療名
- ジルコニアセラミッククラウン
- 患者様
- 20代女性
- 執刀医
- Dr.矢野
- 治療期間
- 2回
- 治療費
- ¥165,000
- リスク
- 色調再現の難しさ
セラミック治療 症例2

- 治療名
- 精密根管治療/ファイバーコア/ジルコニアクラウン
- 患者様
- 40代女性
- 執刀医
- Dr.矢野
- 治療期間
- 5回
- 治療費
- ¥600,000
- リスク
- 歯が脆くなる可能性
-
選ばれる6つの理由
世界水準の
精密治療を東京で
東京都目黒駅の歯医者・歯科のLOTUS DENTAL CLINIC 東京(ロータスデンタルクリニック東京)は、自由診療専門クリニックとして、「歯を残す」「再発を防ぐ」「長期的に美しく機能する」ことを軸に、大学病院レベルの精密治療を提供しています。
患者さまの信頼に応えるために、6つの基準を大切にしています。
- Reason01
歯を守り抜く
精密治療
方針 - Reason02
口腔全体を
捉えた
包括的診断と
治療設計 - Reason03
再発を防ぐ
徹底した診査
診断・治療計画 - Reason04
患者さま
一人ひとりに
寄り添う
診療姿勢 - Reason05
国際基準に
準拠した
滅菌・感染対策 - Reason06
先進医療機器
による
高精度な
治療環境
-
Reason01
歯を守り抜く精密治療方針
私たちが最も重視しているのは、「歯を抜かずに残す」という信念です。
当院ではマイクロスコープや歯科用CTを駆使し、歯の内部構造や根の状態を立体的に把握することで、従来では抜歯と判断された症例でも、保存できる可能性を追求します。
また、根管治療や歯周再生療法においても、ミクロン単位での精度を求め、「機能を残し、美しさを守る」ことを目的に治療計画を立てています。
単なる治療ではなく、長期的に歯を守るための“再発リスクを最小限にする医療”を実践しています。 -
Reason02
口腔全体を捉えた
包括的診断と治療設計咬み合わせ・顎関節・筋肉・骨のバランスまで含めた全顎的診断(フルマウスアプローチ)を行い、お口全体を“ひとつのシステム”として考えています。
そのため、CT画像・口腔内スキャン・咬合解析データを多角的に分析し、一人ひとりに最適な治療計画を立案。
治療結果が「長く続く」ことを最優先に、機能性・審美性・耐久性を融合させた包括的歯科治療を提供しています。 -
Reason03
再発を防ぐ徹底した
診査・診断・治療計画「再治療を繰り返す歯科医療からの脱却」これが、当院が目指す医療のかたちです。
初診時には、CT撮影・歯周組織検査・口腔内スキャン・生活習慣ヒアリングを行い、徹底的に分析します。
LOTUS DENTAL CLINIC 東京(ロータスデンタルクリニック東京)では、科学的根拠(エビデンス)に基づいた診断をもとに、精密で再現性の高い治療プランを立て、治療前後の状態をデータで管理。
治療後のメインテナンスまでを一貫して設計することで、再発を防ぐ「長期安定型の歯科医療」を実現しています。 -
Reason04
患者さま一人ひとりに寄り添う
診療姿勢LOTUS DENTAL CLINIC 東京(ロータスデンタルクリニック東京)では、医学的に最善な治療を押し付けるのではなく、患者様のライフスタイルや価値観、審美的な希望を丁寧に伺い、共に選び取る治療を大切にしています。
治療前には十分なカウンセリング時間を設け、写真・模型・デジタルシミュレーションを用いて、視覚的に理解できる説明を行います。
「納得して治療を受けられる」「安心して任せられる」――その信頼関係こそが、治療の成功を支える基盤であると考えています。 -
Reason05
国際基準に準拠した
滅菌・感染対策LOTUS DENTAL CLINIC 東京(ロータスデンタルクリニック東京)では、すべての患者様に安心して治療を受けていただけるよう、治療に使用する器具は患者様ごとに個別滅菌し、使用直前に開封、また院内の空気環境にも配慮し、医療用空気清浄システムを導入しています。
さらに、診療チェア間には十分な距離と仕切りを設け、完全個室または半個室の空間でプライバシーと衛生を両立。
世界基準の感染予防体制を確立することで、より安全で清潔な医療環境を保っています。 -
Reason06
先進医療機器による高精度な
治療環境当院では、マイクロスコープや歯科用CT、iTeroスキャナーなど、最先端の医療機器を駆使し、“見えない領域を可視化する”ことで、治療の精度と安全性を最大化しています。
こうした設備は単なる機械ではなく、正確な診断・緻密な治療・予防設計のすべてに直結するツールです。
また、デジタルデータを活用することで、複数の専門医間で情報共有が可能となり、より統合的で一貫性のあるチーム医療を実現しています。
お悩みから探す精密治療
よくある質問
精密治療・自由診療専門を行う
目黒駅の歯医者・歯科として、よくいただくご質問
保険診療は、国の定める範囲内で行う治療であり、機能回復を目的とした最低限の医療を提供します。
一方、自由診療は、医師の裁量で最新の技術・材料・治療法を選択でき、精度・美しさ・長期安定性を追求できる治療です。
LOTUS DENTAL CLINIC東京では、患者様一人ひとりの状態に合わせ、将来を見据えた治療を計画します。
自由診療の最大の利点は、「治療の質と再現性を最大限に高められること」です。
時間・材料・技術面で制約がないため、マイクロスコープやCTなどを用いた精密診断・精密治療が可能になります。
また、治療期間・方法・審美性などを個別に設計できるため、「理想の口腔環境」をオーダーメイドで実現できます。
はい。噛む力の低下には、咬合のズレ・歯周病・歯の欠損など、複数の要因が関係しています。
当院では、CT解析と咬合診査を行い、咬み合わせ・筋肉・顎関節を総合的に評価。
咬合の再構築や補綴治療、必要に応じたリハビリテーションを行うことで、機能的で安定した咬合を取り戻します。
当院では、審美性と機能性を両立させる審美歯科・セラミック治療を行っています。
歯の色・形・歯肉ラインをトータルで設計し、天然歯のような透明感と調和のとれた笑顔を再現します。
マイクロスコープによる高精度な形成と接着技術により、審美性だけでなく長期的な安定性も確保します。
はい。歯の根の内部にまで感染が進行した重度の虫歯でも、マイクロスコープを用いた精密根管治療(歯内療法)により、歯を残せる可能性があります。
歯を抜く前にCTで状態を精密に診査し、根管内の細菌感染を可視化・除去することで再感染を防ぎます。
歯を“守る最後の砦”として、根管治療を重視しています。
進行した歯周病の場合でも、歯周再生療法・歯周外科治療を行うことで歯を保存できるケースがあります。
骨や歯肉の再生を促す治療法を用い、歯を支える組織を再構築します。
また、治療後の再発防止のため、歯科衛生士による定期的なメインテナンスを実施しています。
全顎治療(フルマウスリハビリテーション)は、お口全体の機能と審美性を再構築する包括的な治療です。
歯の位置・咬み合わせ・歯周組織・骨・筋肉の状態を総合的に診断し、機能的にも審美的にもバランスのとれた口腔環境を取り戻します。
長年の治療履歴が複雑に絡んだ方や、全体的な再治療が必要な方に適しています。
当院では、事前のCT撮影とデジタルシミュレーションにより、骨量・神経位置・咬合力分布を正確に分析してから手術を行います。
静脈内鎮静法を併用し、患者様の負担を最小限に抑えた治療を実施。
また、定期的なメインテナンスによって長期安定をサポートします。
セラミック治療は、金属を使用せずに歯の自然な透明感を再現できる治療法です。
LOTUS DENTAL CLINIC東京では、デジタルスキャンと顕微鏡下形成によって、ミクロン単位の適合精度を実現。
見た目の美しさだけでなく、清潔で長持ちする口腔環境を目指します。
はい、可能です。
歯を失った箇所にインプラントを埋入し、同時に咬合全体のバランスを整える矯正治療を組み合わせることで、機能的にも審美的にも理想的な咬合を構築できます。
CT解析と矯正シミュレーションを併用し、安全で精密な治療計画を立案します。
東京都目黒駅について
LOTUS DENTAL CLINIC 東京(ロータスデンタルクリニック東京)が位置する目黒駅周辺は、
都心ならではの高い利便性と、落ち着いた住環境が調和した、洗練されたエリアです。
JR山手線をはじめ、東急目黒線・東京メトロ南北線・都営三田線が利用でき、
品川・渋谷・恵比寿・大手町方面へのアクセスにも優れています。
ビジネスエリアと住宅街が程よい距離感で共存し、
幅広い世代の方が暮らし、働き、行き交う街として高い支持を集めています。
ここでは、歯医者・歯科として開業した東京都目黒駅エリアについてご紹介いたします。













